Vous avez d’autres questions ?
G 327 Le palace gammarth la marsa Tunis
+216 98818965
contact@cyrimed-dental.com
Bridge & Couronne dentaire
Qui n’a jamais rêvé d’un sourire hollywoodien? Le sourire de star n’est aujourd’hui plus réservé à une élite! En respectant quelles précautions, tout le monde peut en bénéficier.
Redéfinir en profondeur le sourire est aujourd’hui à la portée de tous grâce aux facettes dentaires nouvelle génération qui ne nécessitent pas la taille de la dent.
Les facettes dentaires respectent ainsi la dent et donnent des résultats remarquables.
En savoir plus sur les facettes dentaires
Bridge dentaire
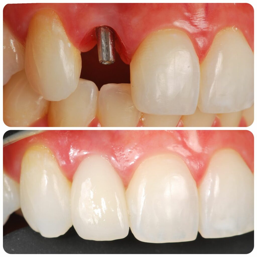
Le bridge dentaire est un traitement fixe qui permet de remplacer une ou plusieurs dents manquantes. Il est soutenu par les dents voisines ou par des implants, assurant une excellente stabilité et un rendu esthétique naturel.
Ce traitement restaure efficacement la fonction masticatoire, empêche le déplacement des dents adjacentes et redonne au sourire son harmonie.
Couronne dentaire
La couronne dentaire est une restauration qui recouvre entièrement une dent endommagée, fragilisée ou dévitalisée. Elle protège la dent, renforce sa structure et améliore son apparence en termes de forme et de couleur.
Conçue sur mesure, la couronne offre une solution durable et esthétique, idéale pour préserver la dent naturelle et assurer un confort optimal au quotidien.
Faites le premier pas vers une vie meilleure
Apprenez à mieux nous connaître
Trois étapes simples pour votre démarche
Prendre rendez-vous
Diagnostic du patient
Pose de facettes dentaires
Photo
Comment prendre les photos


